ACCUEIL
LE CABINET
HORAIRES ET ACCÈS
URGENCES ORTHODONTIQUES
FICHES CONSEILS
NOS VIDÉOS
ACCUEIL
LE CABINET
HORAIRES ET ACCÈS
URGENCES ORTHODONTIQUES
FICHES CONSEILS
NOS VIDÉOS
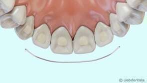
Fil de contention
Vidéos 3D
Partager
Twitter
Partager
Partager
Envoyer
Copier
Cabinet du Dr Béatrice VIDAILHET
+33 2 32 27 90 32 1 Rue Du Colonel O'Diette 27140 Gisors
En savoir +
Politique de confidentialité et charte cookie
Mentions légales
Conditions Générales Utilisation
Rechercher
Nous trouver
Création par
Connexion